2025. 12. 30
團先生の論文がJournal of NMSに掲載
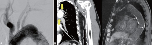
團裕之先生の論文、【Shaggy Aorta Syndrome after Cerebral Angiography: A Case Report】がJournal of NMS(2025;92(5):1409-413に掲載されました。 脳血管造影後に Shaggy aorta syndrome を発症した高齢患者の症例を報告しました。カテーテル操作や抗凝固療法によりコレステロール塞栓を生じ、脳梗塞および末梢塞栓症状を呈し、造影CTで shaggy aorta を診断し、発症後の大動脈MRIでは不安定プラークが確認されました。
重度動脈硬化を有する症例では、脳血管造影前の大動脈MRIスクリーニングの重要性が示唆されました。


